(Adnkronos) – Sei cicli di chemioterapia, poi nove ore di intervento ma ora il tumore di circa 1,5 chili di cui era affetta Sara (nome di fantasia), a soli otto anni, è stato rimosso. “Un intervento chirurgico complesso e straordinario”, ha spiegato in una nota l’ospedale pediatrico Bambino Gesù di Roma dove è stata operata la bambina. “Questo successo non è solo una vittoria medica, ma anche una grande speranza per tante famiglie che affrontano situazioni simili”, ha affermato Alessandro Crocoli, responsabile dell’Unità di Chirurgia Oncologica. 

 

“Sara (nome di fantasia), 8 anni appena compiuti, era affetta da un nefroblastoma al rene destro che si estendeva all’interno della vena renale, della vena cava inferiore fino a raggiungere l’atrio destro del cuore, a causa di una trombosi neoplastica. Questa rara estensione del tumore – ha spiegato l’ospedale – si verifica in appena il 4-10% dei casi di nefroblastoma. Prima dell’intervento Sara è stata sottoposta a sei cicli di chemioterapia, eseguiti dal team di oncologi guidati dal professor Franco Locatelli, per ridurre la massa tumorale e facilitare l’operazione.  

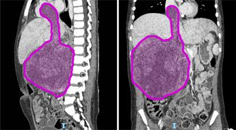
La fase preparatoria pre-chirurgica si è avvalsa di tecniche all’avanguardia di diagnostica per immagini come l’elaborazione 3D del tumore da asportare realizzata dall’unità di Imaging avanzato cardiotoracovascolare e fetale”.  

“L’intervento, reso possibile dalla collaborazione tra oncologi, chirurghi, cardiochirurghi, e anestesisti, rappresenta un risultato importante per la medicina pediatrica”, ha reso noto l’ospedale pediatrico Bambino Gesù.  

L’operazione ha avuto una prima fase in cui l’équipe di chirurgia oncologica, formata dal dottor Alessandro Crocoli e dalla dottoressa Chiara Grimaldi, ha rimosso il rene destro, “il cui volume era dieci volte superiore rispetto alla norma a causa del tumore. Successivamente i cardiochirurghi, guidati dal professor Lorenzo Galletti e con il dottor Gianluca Brancaccio come primo operatore, hanno temporaneamente arrestato il cuore della bambina, mantenendola in vita con la circolazione extracorporea, per rimuovere la parte del tumore che aveva invaso l’atrio destro – prosegue la nota dell’ospedale del Vaticano – Infine, dopo aver riavviato il cuore, i chirurghi hanno completato l’operazione rimuovendo il residuo tumorale dalla vena cava inferiore. In totale, il tumore asportato pesava circa 1,5 kg. La parte anestesiologica del complesso intervento, durato più di 9 ore, è stata gestita dal team della Terapia Intensiva Cardiochirurgica del dottor Luca Di Chiara”. 

“Questo successo non è solo una vittoria medica, ma anche una grande speranza per tante famiglie che affrontano situazioni simili: rappresenta un traguardo straordinario nella chirurgia oncologica pediatrica. Rimuovere un tumore di queste dimensioni, così invasivo, è stato possibile solo grazie a una pianificazione chirurgica estremamente accurata e alla collaborazione di un’équipe multidisciplinare altamente specializzata – ha detto Alessandro Crocoli, responsabile di Chirurgia Oncologica – La priorità è stata garantire il miglior risultato possibile, con un approccio personalizzato e sicuro”. 

“L’asportazione della massa tumorale che invadeva il cuore ha richiesto l’arresto cardiaco e l’uso della circolazione extracorporea, procedure complesse che esigono il massimo coordinamento – ha commentato il professor Lorenzo Galletti, responsabile di Cardiochirurgia – Questo intervento dimostra come, unendo competenze avanzate e tecnologia d’avanguardia, possiamo affrontare anche i casi più difficili, restituendo speranza ai nostri giovani pazienti”.  

Dopo una breve degenza in terapia intensiva, Sara “sta proseguendo la convalescenza in modo positivo e riceve le cure necessarie per un recupero ottimale. La scorsa settimana ha festeggiato il suo ottavo compleanno in reparto con la famiglia e con i medici che si stanno prendendo cura di lei. Il suo percorso di cura continuerà con sedute di radioterapia addominale e ulteriori cicli di chemioterapia”, conclude l’ospedale. 

Il nefroblastoma, noto anche come tumore di Wilms, “è una neoplasia rara che colpisce prevalentemente i bambini tra 1 e 5 anni, con un picco tra i 2 e i 3 anni. Rappresenta circa il 90% dei tumori renali pediatrici, anche se i tumori al rene costituiscono meno del 5% delle neoplasie in età pediatrica – ricorda l’ospedale – In Italia, la sua incidenza è di circa 8 casi ogni milione di bambini. I reni si formano durante lo sviluppo embrionale a partire da alcune particolari cellule staminali dette progenitrici. In alcuni casi, queste cellule persistono nei reni dopo la nascita e, a causa di mutazioni genetiche, possono proliferare in modo incontrollato, portando alla formazione del nefroblastoma”.